
原核表达
技术简介
原核表达即将目的基因片段连接至合适的原核表达载体后,转化进入原核菌体,随后利用受体菌自身的蛋白表达系统进行目标蛋白质的重组表达。原核表达系统是远今为止最为成熟可靠的蛋白表达系统,其优点是实验周期短、成本低、产量高。同时也是目前蛋白表达实验中最常用、最经济实惠的表达系统。
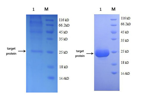
大肠杆菌E.coli 是重要的原核表达体系。在重组基因转化入E.coli 菌株以后,通过温度和诱导剂的控制,诱导其在宿主菌内表达目的蛋白质,将表达样品进行SDS-PAGE 以检测表达蛋白质。
应用领域
1.基因工程
2.抗体制备
3.蛋白功能研究
服务内容
| 服务项目 | 服务内容 |
| 基因合成和基因亚克隆,原核表达载体构建 | 可为客户免费提供密码子优化服务, 公司载体库覆盖多种携带不同标签的原核表达载体,可供客户选择 |
| 大肠杆菌宿主菌转化 | 可提供BL21、Rosetta等大肠杆菌转化服务 |
| 目的蛋白表达 | 培养条件优化,可根据客户需求进行目的蛋白小量表达,也可大量表达 |
| 目的蛋白纯化和浓缩 | 多步纯化获得目的蛋白,可对包涵体复性后获得 |
| 目的蛋白检测 | SDS-PAGE、Western Blot、质谱等多种检测方法对目的蛋白分析检测 |
技术服务优势
1.公司专业的技术团队拥有多年的蛋白表达纯化实验经验,规范的蛋白表达纯化实验平台确保客户的实验更高效。
2.免费为客户提供实验可行性分析报告,五千多种常见蛋白表达条件数据库,对蛋白表达的预测成功率高达75%。通过生物信息学分析及水平优化,活性蛋白表达率上升30%。
3.公司丰富的载体库,覆盖各种商业化表达载体,并可根据客户实际需求改造表达载体,不同的大肠杆菌宿主菌也可满足客户常规需求,为蛋白表达提供最高效率。
服务流程(图)
蛋白表达分析优化报告——表达载体构建——转化宿主菌——优化培养诱导条件——蛋白表达纯化——检测分析

您需要提供以下材料:
1 待表达蛋白的基因序列以及待表达蛋白的基本信息。
2 所需纯化蛋白的量及用途,要求的纯度、是否需要带标签以及带何种类型的标签。
3 发货的具体要求:如缓冲液要求,是否冻干等。
您将获得的实验结果:
1.实验过程中涉及到的载体构建报告;
2.蛋白诱导表达的SDS-PAGE、Western blot等检测报告;
3.实验过程中所涉及到的重组细菌菌株和重组表达菌株、目的基因质粒及亚克隆质粒;
4.提供客户要求量的纯化或浓缩的重组蛋白样品。
实验结果图片示例:
